Rak nerki u dzieci: objawy i możliwe przyczyny choroby

Rak nerki u dzieci występuje bardzo rzadko we wczesnym dzieciństwie. Chociaż na tę chorobę cierpią nastolatki i dorośli, prawie 90% przypadków odnotowuje się u dzieci poniżej 5 roku życia. Dlatego specjaliści sądzą, że rak nerki u dzieci rozwija się już w łonie matki.
Na szczęście rak nerki u dzieci jest chorobą uleczalną. Większość dzieci, które dotyka ten problem, przeżywa i cieszy się normalnym życiem.
Rak nerki u dzieci: podstawowe informacje
Nowotwór pojawia się, gdy złośliwe komórki mnożą się poza kontrolą w ciele. Rak nerki u dzieci najczęściej przyjmuje formę guza Wilmsa, inaczej nerczaka zarodkowego. Tworzy się w niedojrzałej tkance nerkowej. Pomimo pojedynczego uszkodzenia, może wpływać na obie nerki. Jest to przypadek znany jako obustronny guz.
W innych przypadkach rak nerki u dzieci może być wieloogniskowy, czyli może występować kilka zmian w tej samej nerce. Ponadto jest to problem zdrowotny, którego występowanie jest niezależne od płci.

Możliwe przyczyny zachorowania
Specjaliści wciąż nie są pewni, co powoduje raka nerki. Jednak zaobserwowano, że występuje on często u dzieci z problemami genetycznymi. W grupie największego ryzyka są dzieci, które:
- Cierpią na zespół WAGR, upośledzenie umysłowe, wady układu moczowo-płciowego i urodziły się bez źrenic.
- Mają zespół Denysa-Drasha. Również dzieci z anomaliami narządów płciowych i nefropatią.
- Cierpią na zespół Beckwitha-Wiedemanna lub powiększenie narządów jamy brzusznej, takich jak trzustka, wątroba lub nadnercza. Rak nerki u dzieci może to być również związany z przepukliną pępkową, makroglosją lub macrosomią.
- Są urodzone w rodzinie, której członkowie chorowali na raka nerki.
- Mają problemy z układem moczowym.
- Chorują na stwardnienie guzowate, czyli stan, w którym pojawiają się naczyniakomięśniakotłuszczaki.
- Cierpią z powodu raka rdzeniastego nerek, raka komórek nerkowych lub leiomyomatozę.
Powszechne objawy dziecięcego nowotworu nerki
Na początku zwykle nie występują objawy, dopóki nie poczujesz obrzęku w brzuchu dziecka. Ponadto dziecko może odczuwać dyskomfort w jamie brzusznej, mieć nudności, wymioty, brak apetytu lub cierpieć zaparcia. Może również mieć krwiomocz i wysokie ciśnienie krwi.
Jeśli u Twojego dziecka rozwija się nowotwór nerki, może również bez wyraźnego powodu pojawiać się gorączka, zmęczenie, ból w klatce piersiowej i utrata wagi. Jeśli guz rozprzestrzenia się na wątrobę lub płuca, objawy są różne. Niektóre z nich to bóle brzucha, kaszel, problemy z oddychaniem i odkrztuszanie krwią.
Stawianie diagnozy
Rak nerki u dzieci jest diagnozowany na drodze badań fizycznych mających na celu ustalenie ogólnego stanu zdrowia dziecka. Lekarze zbierają dane dotyczące historii zdrowia i nawyków. Wykonają również renoscyntygrafię lub pełną morfologię krwi, razem z biochemicznymi badaniami krwi i analizą moczu.
Dodatkowo wykonają USG jamy brzusznej dziecka. W ten sposób mogą poznać położenie, wielkość i inne cechy guza. Badanie jest całkowicie bezbolesne i nie naraża na szkodliwe promieniowanie.
Jeśli wyniki nie są jasne, wykonywana jest również tomografia komputerowa oraz prześwietlenie klatki piersiowej. Ta procedura jest wykonywana w celu wykrycia wszelkich przerzutów choroby.

Tomografia komputerowa umożliwia uzyskanie obrazów brzucha, gardła i miednicy pod różnymi kątami. Inną metodą jest rezonans magnetyczny. W tej procedurze wykorzystuje się magnes, a także fale radiowe i komputer do stworzenia obrazów wnętrza ciała pacjenta.
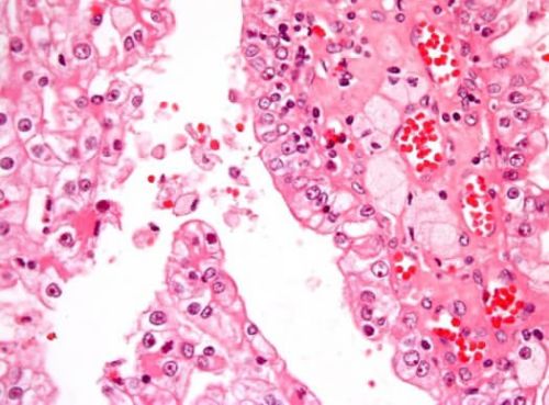
Jeśli specjalista tego zażąda, wykonywana jest biopsja guza, która pozwala pobrać komórki lub tkanki do analizy.
Możliwe zabiegi
Leczenie zależy od rodzaju komórek nowotworowych i nasilenia stanu.
- Promieniowanie wewnętrzne lub zewnętrzne w celu zapobiegania lub eliminowania komórek nowotworowych za pomocą energii lub promieniowania.
- Kiedy rak dotyka tylko jednej nerki, lekarze stosują kombinację chemioterapii i leki wstrzykiwane dożylnie. Stosują ją przed i po operacji, podczas której wszystkie komórki nowotworowe zostają usunięte.
- Substancje pobudzające mogą w naturalny sposób przywrócić obronę organizmu przed rakiem. Nazywa się to terapią biologiczną.
- Inną metodą są duże dawki chemioterapii podawane w celu ratowania komórek macierzystych. Jest to sposób przywracania elementów morfotycznych krwi pod koniec chemioterapii.
- Ukierunkowana terapia pomaga pozbyć się tylko komórek rakowych, nie uszkadzając normalnych, zdrowych komórek.
Jednak niektóre z tych zabiegów mogą powodować działania niepożądane. Mogą to być problemy z nerkami lub sercem, wahania nastroju, problemy z myśleniem i uczeniem się, a nawet powstanie nowych nowotworów.
Jeśli zauważysz u dziecka objawy raka nerki, natychmiast skontaktuj się z lekarzem. Jeśli lekarze zdiagnozują ten nowotwór i określą jego stopień zaawansowania, ważne jest ustalenie planu leczenia i omówienie możliwych skutków ubocznych.
Wszystkie cytowane źródła zostały gruntownie przeanalizowane przez nasz zespół w celu zapewnienia ich jakości, wiarygodności, aktualności i ważności. Bibliografia tego artykułu została uznana za wiarygodną i dokładną pod względem naukowym lub akademickim.
- American Academy of Family Physicians. Recognition of Common Childhood Malignancies. Am Fam Physician; 61:2144-54. The Alliance for Radiation Safety in Pediatric Imaging’s “Image Gently” Campaign
- MedlinePlus. «Tumore de Wilms». Enciclopedia médica en español
- Rojas, V. & Pérez, Y. L. Cáncer Infantil: una visión panorámica. Revista PsicologiaCientifica.com, 13(19)
Ten tekst jest oferowany wyłącznie w celach informacyjnych i nie zastępuje konsultacji z profesjonalistą. W przypadku wątpliwości skonsultuj się ze swoim specjalistą.







